Секс на апараті для МРТ: вчені провели експеримент і ось що ніяк не можуть зрозуміти

Аватар Юлія Шкурат Юлія Шкурат
277
1 голос
Секс на апараті для МРТ: вчені провели експеримент і ось що ніяк не можуть зрозуміти
Закохана пара на знімку МРТ. Фото: BLIK.ua, згенероване засобами ШІ
Учені дослідили секс під час МРТ-сканування і отримали нові дані про анатомію, але один фізіологічний ефект досі не має чіткого пояснення.
Зміст

Що показав експеримент із сексом в апараті МРТ?

У 1999 році в British Medical Journal було опубліковано незвичне дослідження, у межах якого пари займалися сексом під час МРТ-сканування. Дослідники намагалися краще зрозуміти анатомічні зміни в організмі під час статевого акту, повідомляє British Medical Journal.

Результати підтвердили, що отримання таких зображень можливе та корисне для науки. У статті зазначалося:

«Отримані зображення показали, що під час статевого акту в місіонерській позі статевий член має форму бумеранга, а третина його довжини складається з кореня».

Знімок МРТ у процесі дослідження. Фото: bmj.com

Окрім анатомічних спостережень, учені звернули увагу на ще один ефект. Під час усіх зафіксованих статевих актів у МРТ у жінок швидко наповнювався сечовий міхур. У дослідженні взяли участь вісім пар і три жінки без партнерів, що зробило вибірку унікальною для медичних спостережень.

Чому цей фізіологічний ефект досі не можуть пояснити?

Причина швидкого наповнення сечового міхура під час експерименту залишається незрозумілою. Один з авторів дослідження Менко Віктор ван Андел припустив, що це може бути еволюційним механізмом захисту від інфекцій. Він зазначав:

«На кожному фінальному знімку ми бачили великий, наповнений сечовий міхур, хоча більшість жінок відвідували туалет перед процедурою».

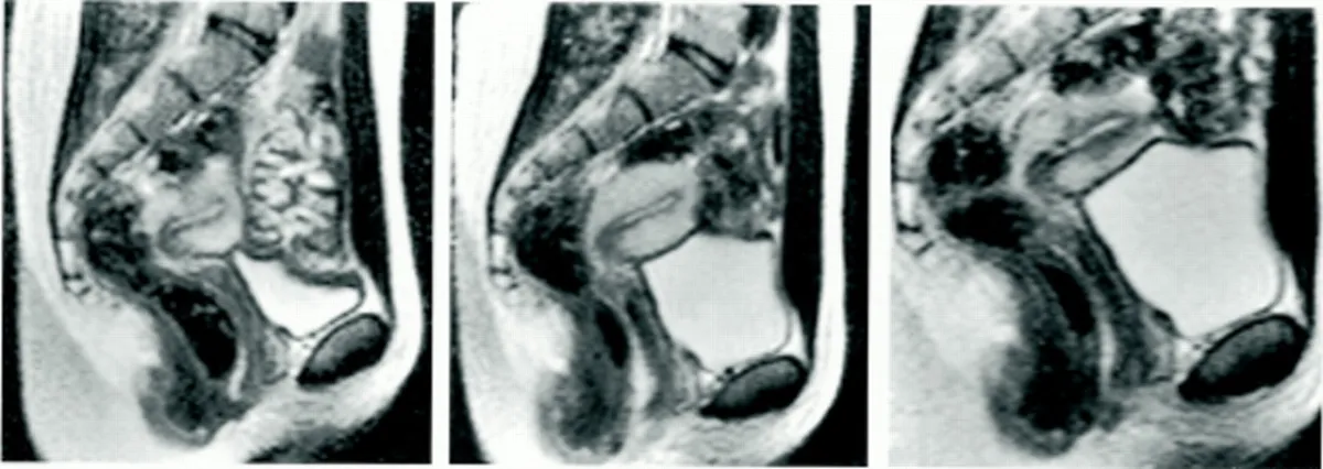
Знімок МРТ на різних етапах дослідження. Фото: bmj.com

Остаточного наукового підтвердження ця гіпотеза досі не отримала. Дослідники наголошують, що експеримент був безпечним і проводився з дотриманням медичних норм. Водночас у наукових і медичних колах він і досі вважається одним із найнестандартніших.

Читайте по темі:

  • «Якщо нема опалення – можна обкластися вібраторами»: кохана ексголови МЗС Кулеби дала дивну пораду українцям.
  • Айтішники масово відмовляються від сексу та побачень: чому молоді фахівці йдуть на такий крок.
  • Сідні Свіні приголомшила шанувальників: зірка Голлівуду «зробила» фотосесію для OnlyFans.